unico hospital

News
2025-09-16

MRI in Advanced Pregnancy – A Milestone in Diagnostic Excellence

Go Back

Contact Contact
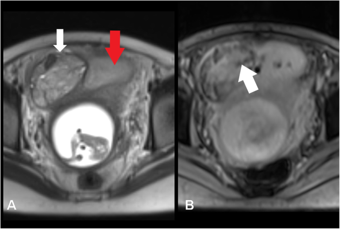
Unico Hospitals recently undertook a highly challenging MRI case of a 34-week pregnant woman to assess placenta previa and placental invasion with bladder. Such investigations are rarely performed in most centers due to the complexity of scanning at this advanced stage of pregnancy. The primary challenges included the patient’s inability to lie comfortably for a prolonged period and continuous fetal movement, both of which can significantly compromise imaging quality.

Indications of MRI in Placenta Previa and Placental Invasion with Bladder

MRI is a valuable tool for managing high-risk pregnancies. It helps doctors plan and prepare for complex cases involving placenta previa and placental invasion. Here’s how it’s used:

  • To evaluate depth and extent of placental invasion (accreta, increta, per Creta).
  • To assess possible bladder wall involvement.
  • To differentiate between normal placenta and abnormally invasive placenta.
  • To provide a road map for obstetric surgeons for delivery planning and potential surgical intervention.
  • To reduce maternal and fetal risk by anticipating complications during cesarean section.

MRI provides clear, detailed images that help doctors make informed decisions. It’s a key step in ensuring safer outcomes for challenging pregnancies.

Why Unico Hospitals Is Unique

Unico Hospitals is a leader in advanced maternal and fetal imaging. With cutting-edge technology and a dedicated team, the hospital excels in handling even the most complex pregnancy cases. Here’s what makes Unico Hospitals unique:

  • The 3T MRI delivers high-resolution images, even in challenging pregnancy scenarios.
  • A team of experts specializes in fetal and placental MRI protocols.
  • Skilled professionals ensure precise imaging, overcoming common challenges like fetal movement.
  • The hospital takes on high-risk and rare cases that many other centers avoid.
  • A patient-focused approach prioritizes comfort during long scans.
  • Radiologists, gynecologists, and MRI technologists work together for accurate diagnoses and surgical planning.

Unico Hospitals combines advanced technology, expertise, and patient care to set a new standard in diagnostic excellence. This commitment ensures better outcomes for both mothers and babies.

Final Note

This achievement reflects our institution’s commitment to advancing diagnostic accuracy in complex scenarios where precision is crucial for clinical decision-making and surgical planning. 

By leveraging advanced imaging protocols, highly skilled professionals, and patient-centered care, we continue to set new benchmarks in maternal and fetal imaging. 

Our ability to deliver accurate, high-resolution, and clinically meaningful results—even under the most demanding circumstances—positions us at the forefront of diagnostic excellence.